Skip to content
May Dental Technology Co.,Ltd
84/26, street 30/4, Phu Loi Ward, Ho Chi Minh city, Viet Nam
+84 38 35 35 621
Home
Product/Service
Design Center
Gallery
ONLAY INLAY OVERLAY
METAL FRAME WORK RESTORATION
NON-PREP ESTHETIC VENEER
ZIRCONIA ESTHETIC
OTHER TYPE OF ESTHETIC VENEERS
IMPLANT SINGLE RESTORATION
Knowledge
Contact
PROMOTION
HOW TO SEND FILE
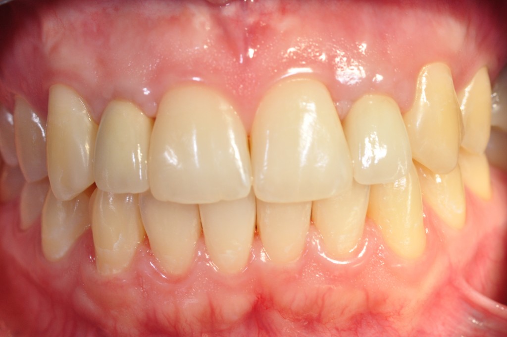
IMPLANT SINGLE RESTORATION
Initial condition
After place implant
Restoration on implant
Final Result
GALLERY
ONLAY INLAY OVERLAY
FULL DENTURE
FULL METAL & PORCELAIN FUSE METAL
FULL ARCH
NON-PREP ESTHETIC VENEER
CLEAR ALIGNER
ZIRCONIA ESTHETIC
ALL ON X SAMPLE CASE
Few sample case All On X
OTHER TYPE OF ESTHETIC VENEERS
GINGIVECTOMY GUIDE
IMPLANT SINGLE RESTORATION
Home
Product/Service
Design Center
Gallery
ONLAY INLAY OVERLAY
METAL FRAME WORK RESTORATION
NON-PREP ESTHETIC VENEER
ZIRCONIA ESTHETIC
OTHER TYPE OF ESTHETIC VENEERS
IMPLANT SINGLE RESTORATION
Knowledge
Contact
PROMOTION
HOW TO SEND FILE