LAYER ZIRCONIA
Prep Preparation
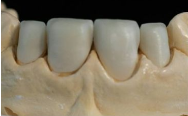
Zirconia Frame work
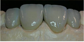
Ceramic body apply
Ceramic Enamel apply
Ceramic apply
Ceramic apply
Prep Preparation
Ceramic Enamel apply
Few sample case All On X